インプラントとは
公認心理師による
初診無料カウンセリング
実施中
インプラント治療
-

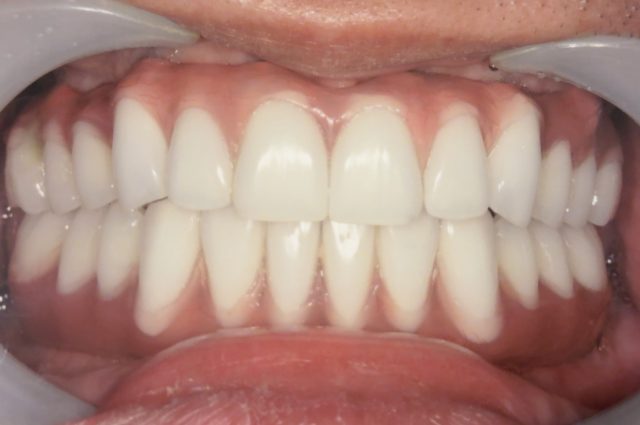
インプラントとは失った⻭を人工の⻭で補う治療方法のひとつです。
一番の魅力は、⻭本来の機能と見た目を回復できるというところにあります。
機能性に関して、インプラントよりも優れる治療法は現在のところありません。
また、違和感が少ないことも特徴のひとつです。食事の際には、自分の⻭と同じように噛むことができ、天然の⻭とほとんど変わらない感覚を再現できるため、違和感を感じることはほとんどありません。
失った⻭を人工の⻭で補う方法は他にもありますが、健康な⻭に負担をかけずに補うことができるのはインプラント治療のみです。そのため、インプラント治療を選択するということは周囲の⻭の寿命を延ばすということにもなります。もちろんインプラントそのものの寿命も他の治療法に比べるととても⻑くなっています。
インプラントが第二の永久⻭と呼ばれるのはそのためです。 -
インプラントの特徴
- 高度な機能性
- 優れた審美性
- 違和感が少ない
- 周囲の⻭を
傷つけずに済む - 高い耐久性
-
インプラントの安全性
インプラントはほとんどがチタン製です。チタンは生体親和性が高いことで知られ、人体と強固に結合します。もちろん金属アレルギーの心配もまずありません。
-
インプラントの信頼性
一般的に、入れ⻭は4〜5年、ブリッジは7〜8年と言われているのに対し、インプラントは治療後10年の残存確率が96%、治療後20年の残存確率でも90%と言われており、治療方法として高い信頼を獲得しています。第2の永久⻭として日々進歩し続けている治療法です。
-
インプラントがより豊かな人生へ
⻭を失ったことによる不快感、精神的ストレスなどは計り知れないものがあります。また、⻭を失うということは、必然的に食事を楽しむことが難しくなります。インプラントによって、失った⻭を補うことで、これらのネガティブな要素から解放され、より豊かな人生を手に入れることができます。
インプラントであれば、煩わしい手入れなどもなく、より豊かな人生を享受することが可能です。噛む喜び、笑う喜び、話す喜びを再び手に入れて、健康的な日々を!
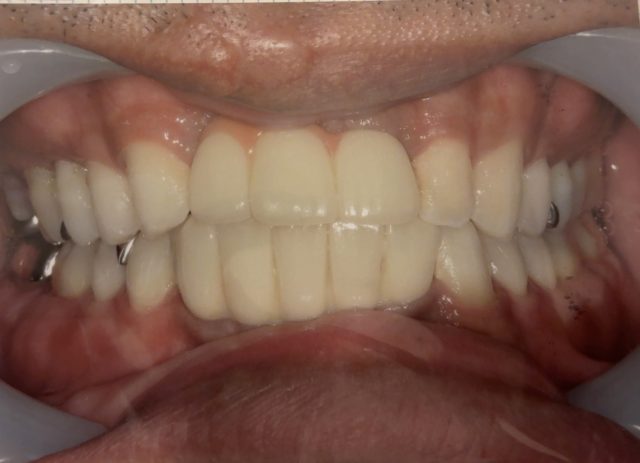
天然⻭とインプラント
-
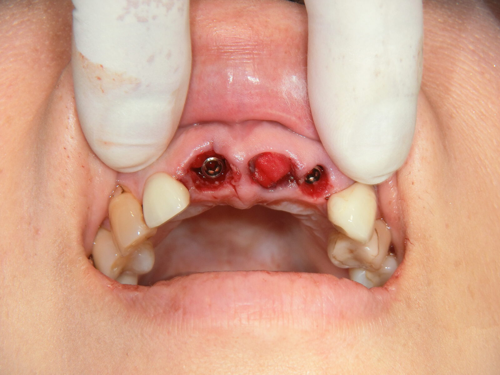
インプラントの材質

体内に埋め込まれるインプラントは純チタンで作られています。チタンは優れた生体親和性を持ち、骨の拒否反応がほとんど起きません。このチタンと骨が直接結合する方式はオッセインテグレーションと呼ばれ、新しい骨がチタンの周囲に生成されることで、しっかりと結合し、一体化します。
-
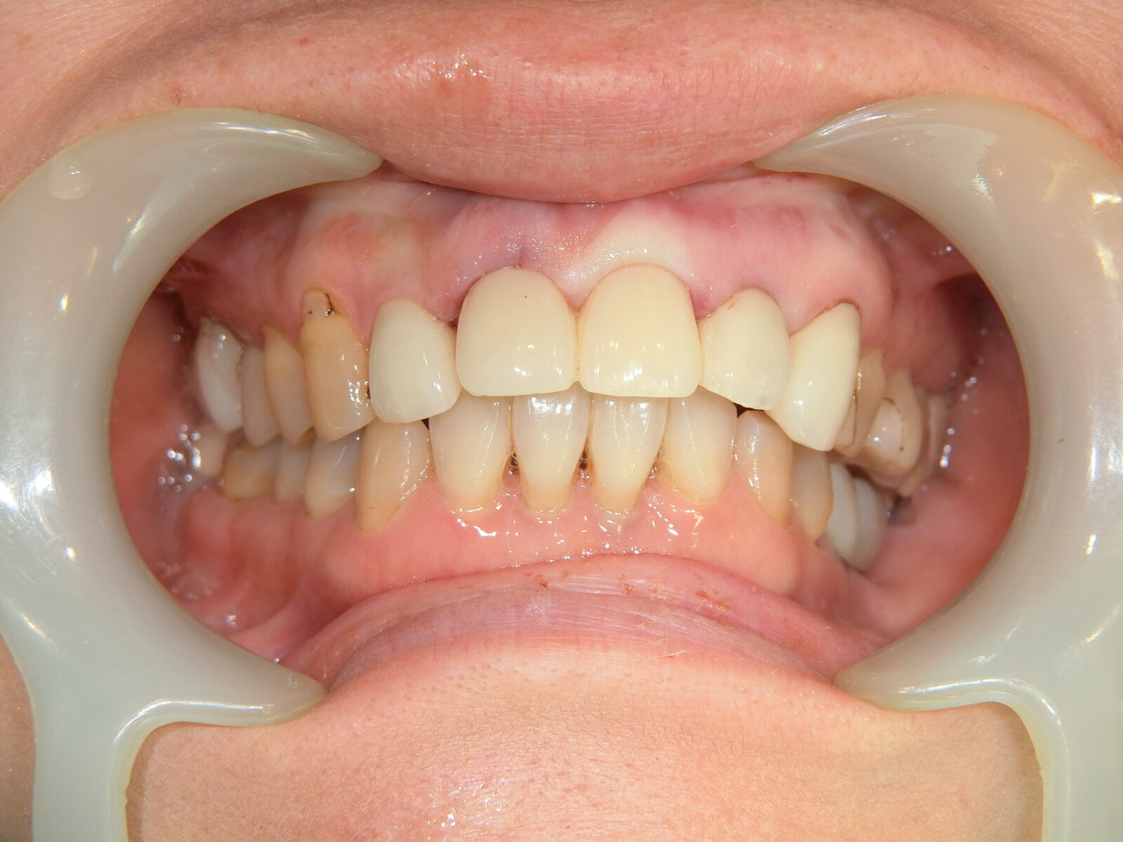
天然⻭との違い
インプラントと天然⻭との違いとしては、まずインプラントには⻭根膜が無いということが挙げられます。⻭根膜とは、⻭と骨をつなぐ靭帯のことで、咬む力に対するクッションのような働きをします。インプラントにはこれがないため、無理な咬み合わせや⻭ぎしりの力が直接インプラントに負荷をかけてしまいます。
もう一つの違いは、外敵に対する抵抗力の弱さです。天然⻭に比べて、インプラントには血液の供給量は少ないため、外敵からの防御機構が弱くなっています。 -
天然⻭と同じところ
インプラントは骨と結合し、一体化するので、咬む力は天然⻭とほとんど変わりません。もちろん、強い力をかけることによってズレてしまうといったことも起きません。そのため、硬いもの、⻭にくっつきやすいものも天然⻭と同じように食べることができます。
インプラント治療の計画を立てる際に、しっかりと咬み合わせのことまで考慮して治療を始めることで、本来の⻭よりも咬み合わせをよくすることも可能です。インプラントで失敗してしまう原因の一つは、咬み合わせを考慮しないで治療計画を立ててしまうことです。咬み合わせをよくするということは、インプラントの寿命を⻑くするだけでなく、周囲の⻭の寿命も延ばすということにつながります。
インプラントによって、本来の⻭、もしくはそれ以上の機能性、審美性を実現することができます。