平日10:00~18:00 土曜10:00~17:00

0120-01-8448

24時間受付中

メール相談

カテゴリー:「未分類」の記事一覧

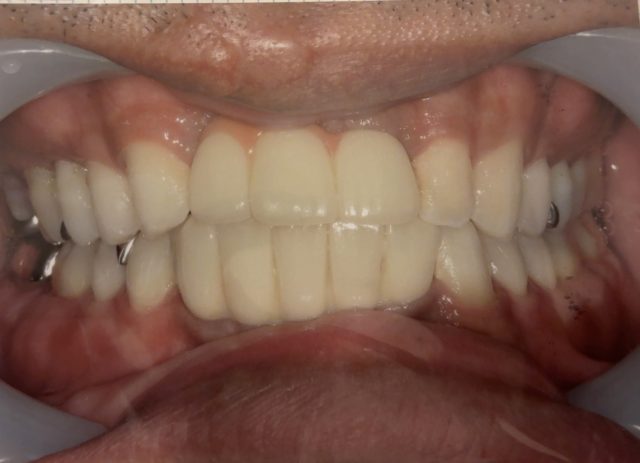
30代男性_交通事故で失った前歯の再建

30代男性_交通事故で失った前歯の再建

2024.3.9

40代男性_欠損歯をインプラント治療で再建

40代男性_欠損歯をインプラント治療で再建

2024.2.7

初診「個別」相談へのご案内

当院では、患者様が抱えていらっしゃるお口のお悩みや疑問・不安などにお応えする機会を設けております。どんなことでも構いませんので、私たちにお話ししていただけたらと思います。
ご興味がある方は下記からお問い合わせください。

ご予約・お問い合わせ
0120-01-8448
24時間WEB予約
〒630-0251奈良県生駒市谷田町850-4 谷田ビル2F

このページの先頭に戻る