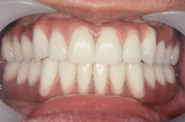
| 年齢 | 40代 |
|---|---|
| 性別 | 男性 |
| 主訴 | 欠損した歯の再建 |
| 治療 | インプラント治療(アストラテック) |
| 費用 | 4,810,000円(税別)/5,291,000円(税込) |
| 治療期間 | 1年0カ月 |
| リスク・副作用 | インプラント治療は外科処置を伴うため、術後に腫れ・痛み・出血が生じることがあります。 また、骨や歯ぐきの状態によってはインプラントが十分に定着しない場合や、感染・炎症を起こす可能性があります。 審美性や噛み合わせの調整のため、経過観察や追加調整が必要となる場合があります。 |
| 備考 | 白い歯を希望されておりましたので、最終補綴をエステティック色にして治療いたしました。 |






