抜歯即時荷重とは?
抜歯即時荷重(即時加重、Immediate Loading)とは、歯科インプラント治療において、歯を抜歯してすぐにインプラントを埋入し、そのインプラントに仮歯を装着する治療方法のことを指します。通常、インプラント手術後には数ヶ月の癒合期間が必要ですが、抜歯即時荷重ではこの期間を短縮し、早い段階で人工歯を装着することが可能です。
抜歯即時インプラントのメリット
抜歯即時インプラントには以下のようなメリットがあります。
即時の美しい見た目: インプラント手術後すぐに仮歯を装着できるため、外見上の変化が少なく、すぐに自然な笑顔を取り戻すことができます。
心理的な安定感: 歯を失った際の辛さや不安感を軽減し、自信を持って日常生活を送ることができます。
食事の制限の軽減: 早い段階で咬む力を使えるため、食事制限を緩和し、幅広い食品を楽しむことが可能です
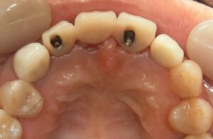
症例写真
before

after1

after2

| 施術名 | 抜歯即時荷重 |
| 施術の説明 | 歯を抜歯してすぐにインプラントを埋入し、そのインプラントに仮歯を装着する治療方法 |
| 施術の副作用 | 噛んでしまうことで骨とインプラントの結合が不十分になる可能性があり、インプラントの安定性に問題が生じることがあります。十分な検討と適切なアフターケアーが必要です。 |
| 施術の価格 | 495,000円(税込)×2 ポンティック 110,000円(税込) ※2本でブリッジ+ポンティックのケース |
抜歯即時荷重をお考えの方へ
抜歯即時荷重は、歯科インプラント治療において手間を減らし、早い段階で美しい笑顔を取り戻す方法です。
ただし、適切な選択と患者の状態に基づく注意が必要です。歯科医師とのカウンセリングを通じて、自身に適した治療法を選択することが大切です。
当院の抜歯即時荷重は顎の骨に負担がかからないよう、骨の形や厚みに合わせ安定したオペを実施しております。
ご興味のある方は、ぜひ当院にご相談ください。





